中南大学客户发表文章——HEG1促进肝细胞癌转移
来源: | 作者:wcgene | 发布时间: 2020-03-13 | 256 次浏览 | 🔊 点击朗读正文 ❚❚ | 分享到:

的蛋白表达水平。


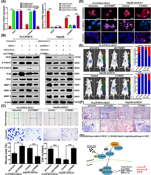
3.6 β-cateninHEG 1介导的Wnt信号转导和促进肝癌的侵袭、转移和肝细胞转移中起着不可或缺的作用

6结果表明,β-catenin作为HEG1的下游分子,对于HEG1介导的Wnt信号传导是必不可少的,并促进HCC的侵袭,转移和EMT

6. 在具有HEG1表达干扰和CTNNB1的敲低或异位表达的HCC细胞中,(AHEG1CTNNB1mRNA表达水平;(B)关键蛋白的表达水平;(C)伤口愈合和transwell测定;(D)细胞骨架和EMT标志物表达测定。(E)显示原位异种移植肿瘤的代表性生物发光图像,以及肝内和肝内肿瘤的比例计算并比较肺转移。(F)原位异种移植肿瘤的肝内和肺转移的代表性HE染色切片。(GHEG1介导的通过β-cateninAPC激活Wnt信号传导并促进HCC侵袭,转移和EMT的工作模型。


结论

总之,HEG1能提示预后不良。通过激活Wnt /β-catenin信号在肝癌的侵袭,转移和EMT中起重要作用。并可以作为潜在有价值的HCC预后生物标志物和治疗靶标。